
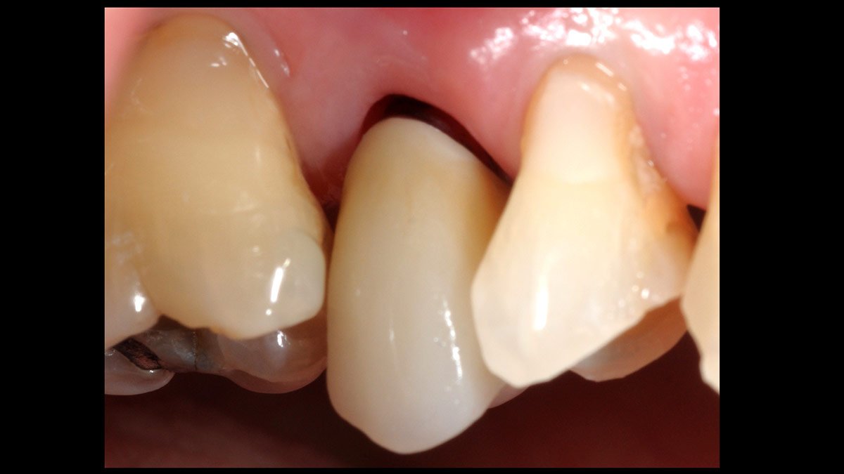
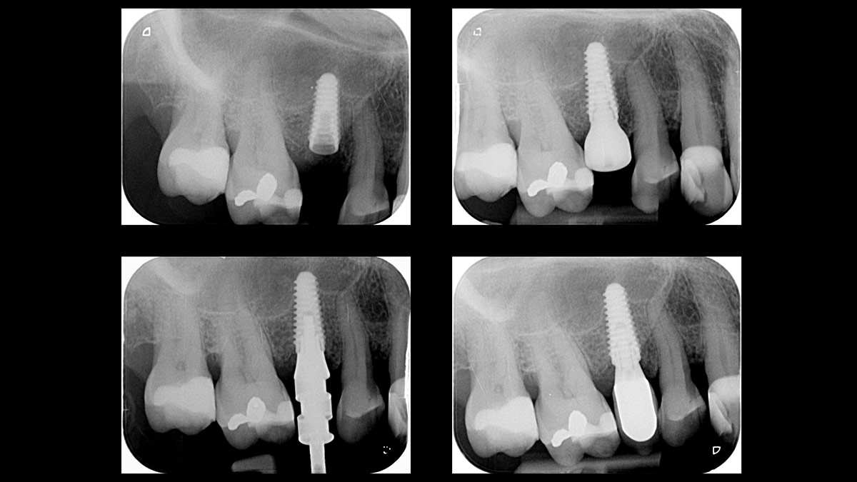
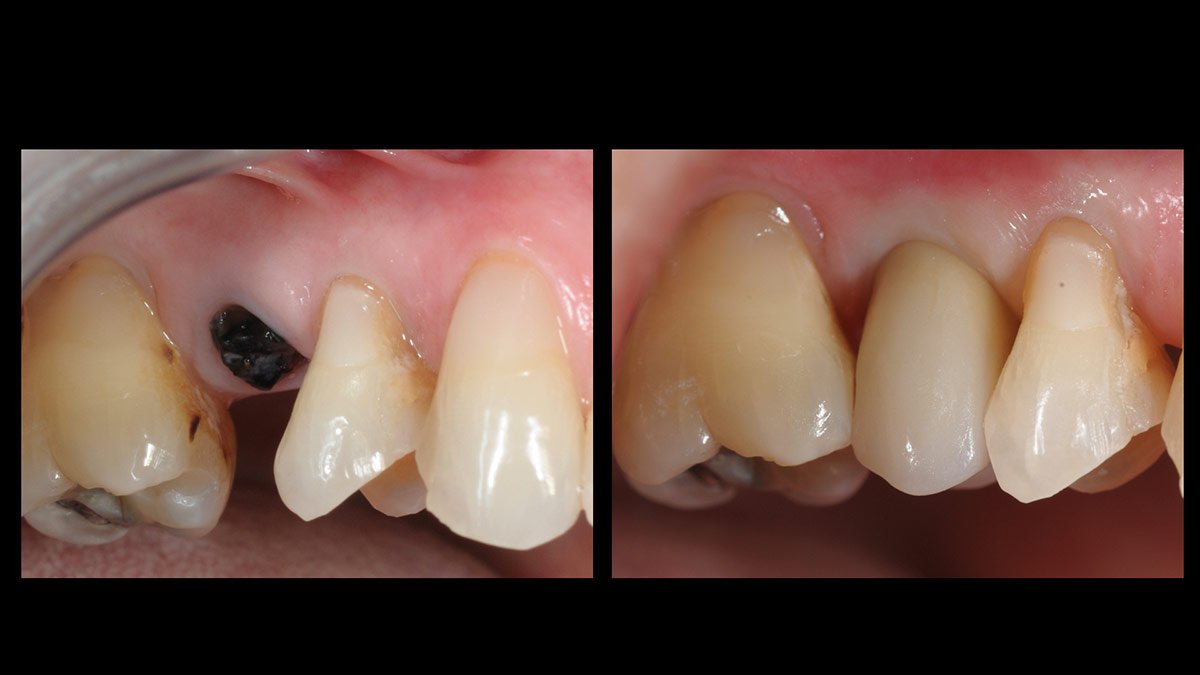
Immediate molars predictable? A case by @immediate_implantology
De Klantenservice van MegaGen helpt u graag verder. Bel met één van onze medewerkers op telefoonnummer +31 (0) 88 – 84 84 100 (bereikbaar op werkdagen van 08:30 tot 17:00 uur). Onze medewerkers helpen u graag verder, of vind op onze service pagina het antwoord op al uw vragen.


Waarom wij een AI-medewerker hebben aangenomen? Omdat we juist het persoonlijk contact met jou willen behouden.
Bij ons draait alles om persoonlijke aandacht – voor onze klanten én voor elkaar. Tegelijkertijd geloven we in innovatie en slimme processen. Daarom hebben we Parky aan ons team toegevoegd.
Maak kennis met Parky: onze nieuwe AI-collega die achter de schermen onze medewerkers ondersteunt bij sales en klantcontact. Dankzij Parky houden wij meer tijd en ruimte over om jou écht persoonlijke service te bieden.
Waarom Parky?
✔️ Altijd beschikbaar – 24/7 ondersteuning voor ons team
✔️ Slim en snel – Directe inzichten en oplossingen
✔️ Efficiënt en betrouwbaar – Voor een soepel verlopend proces
Met Parky aan boord kunnen wij het persoonlijke contact niet alleen behouden, maar zelfs versterken.
Nieuwsgierig? Kom gerust langs voor een kop koffie, dan stellen we je graag aan Parky voor.
Om jou nog beter van dienst te zijn, zijn wij continu bezig onszelf te verbeteren.
Vanwege interne training en teamactiviteit is ons kantoor daarom gesloten op:
Vrijdag 9 september 2022
Het blijft uiteraard wel mogelijk om bestellingen online te plaatsen via de e-catalog op onze website of via de mail naar sales@megagen.nl / sales@megagen.be.
Bestellingen die geplaatst zijn op donderdag 8 september na 16.00 uur of op vrijdag 9 september, worden op maandag 12 september verwerkt.
Hartelijk dank voor jouw begrip!