Om u te inspireren publiceren we hier diverse cases die betrekking hebben op de producten van MegaGen. Ook vindt u hier recente effectiviteits-, media- en brancheonderzoeken.
19 maart 2021
19 maart 2021
Cateogorieën
R2GATE Case | Scott Ganz en Isaac Tawill
R2GATE Case | Diagnose en planning van een full-arch implantaatgedragen constructie | Scott Ganz en Isaac Tawill Voor een full-arch implantaatgedragen constructie is een goede, uitgebreide […]
Vindt je dit leuk?
26 januari 2021
26 januari 2021
Cateogorieën
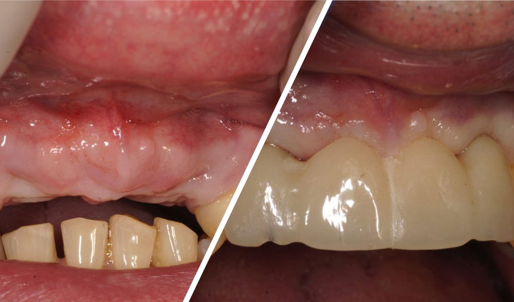
Een bijna onmogelijke klus
EEN BIJNA ONMOGELIJKE KLUS Extraheren kan altijd nog Dit werkstuk is echt een uitdaging. Door een ernstige beetverlaging die moeilijk gelicht kan worden, is het al […]
Vindt je dit leuk?
8 augustus 2017
8 augustus 2017
Cateogorieën
Delayed implant placement; sinus floor elevation by means of lateral approach
Delayed implant placement; sinus floor elevation by means of lateral approach and implant placement with GBR.
Vindt je dit leuk?
11 mei 2017
11 mei 2017
Cateogorieën
Predictable, accurate and quick Immediate restauration
MegaGen AnyRidge through R2GATE Guide and temporary bridge. Case report by Lodewijk van Zwol.
Vindt je dit leuk?
26 april 2017
26 april 2017
Cateogorieën
Immediate implant placement with GBR 1-stage by means of osseodensification
Immediate implant placement with GBR 1-stage by means of osseodensification. Case report by Irfan Abas M.Sc.
Vindt je dit leuk?
8 maart 2017
8 maart 2017
Cateogorieën
Crestal sinusfloor elevation
Crestal sinusfloor elevation with Versah burs and MegaGen AnyRidge implant placement without the use of biomaterials.
Vindt je dit leuk?
8 maart 2017
8 maart 2017
Cateogorieën
Fractured implants in the mandible
Fractured implants; removal of the implants, ridge reconstruction with Lamina®, MP3® and autogenous bone and placement of 2 new ExFeel implants after 4 months healing period.
Vindt je dit leuk?
14 december 2016
14 december 2016
Cateogorieën
AnyRidge with i-Gen in combination with OsteoBiol GenOs and Evolution
MegaGen AnyRidge with i-Gen in combination with OsteoBiol GenOs and Evolution. 24 25 buccal dip. By Lodewijk van Zwol.
Vindt je dit leuk?











Waarom wij een AI-medewerker hebben aangenomen? Omdat we juist het persoonlijk contact met